小児矯正
〜お子様の健やかな成長の
ために〜
歯並びが悪くなる原因は?
幼少期の生活環境による口腔機能の発達不全や遺伝的要素が原因となり、歯並びは悪くなります。
- [環境要因]
- 口腔機能の発達不全・悪い癖・悪い姿勢・大きなむし歯など
- [遺伝的要因]
- 歯が大きい・顎が小さい・永久歯の先天性欠損など
次のような症状はありませんか?
次のような症状がある方は、私たちが普段あたり前にできると考えている「呼吸する・食べる・寝る」といった、本来成長の過程で獲得すべき機能が発育不全の可能性があるかもしれません。
特に舌の機能が発達不全だったり、口呼吸だと歯並びだけでなく全身の発達にも影響を及ぼします。
当院では、お子様の健やかな成長のために、歯並びだけでなく、正しい口腔機能の獲得のためのトレーニングを用いた矯正治療も行っています。
-
【日常生活】
・じっとしていられない
・集中力がない
・気がついたら口が開いている
・口呼吸になっている
・口臭が気になる
・歯に色がつきやすい
・風邪をひきやすい
・アレルギー性鼻炎
・アデノイド(咽頭扁桃肥大) -
【食事中】
・左右どちらかの歯でばかりで食べる
・食べながらすぐに水を飲む
・硬いものを食べるのが苦手
・食事の時間が長い
・よく嚙まずに飲み込む
・噛んでいるときにくちゃくちゃ音がする
・床に足がついていない状態で食事をする -
【就寝中】
・いびきをかいている
・横向き、またはうつ伏せでないと寝られない
・寝起きが悪い
・頻繁におねしょをする
治療を始める時期
| Ⅰ期治療 | 小学校低学年頃 | 乳歯列・混合歯列期に顎の拡大をすることによって、永久歯の生えるスペースを確保したり骨格を整えたりします。本格的な矯正(Ⅱ期治療)に入る前の準備的な治療です。お子様の発育や環境に応じた矯正装置の使用や運動療法の併用など、必要に応じた治療をいたします。 価格:385,000円(税込)〜 |
|---|---|---|
| Ⅱ期治療 | 小学校高学年~ 中学生以降 |
Ⅱ期治療は、Ⅰ期治療終了後の永久歯列が完了後、引き続いて矯正治療を行います。 |
矯正治療の流れ
- STEP1.ブラッシング指導
- STEP2.むし歯治療
- STEP3.資料採取(レントゲン、口腔内写真、歯型など)
- STEP4.診断・治療計画作成
- STEP5.Ⅰ期治療(乳歯列期、混合歯列期)
- STEP6.Ⅱ期治療(永久歯列期)
- STEP7.保定
◆ 整った歯並びは、お口の
正しい機能から
歯並びの悪さは、顎が小さい、歯が大きいなどの先天的な原因と、口腔周囲筋の発育不全、指しゃぶりや口呼吸などの癖といった後天的な原因があります。
当院では、後天的な原因を改善するために「MFT(口腔筋機能療法)」を行っています。
・MFTのトレーニング
咀嚼嚥下機能や、発音時の口腔周囲筋の正しい動きなどを訓練して、バランスを整えていきます。
・予防としてのMFT
歯並びは、乳歯の段階で整っていることで、永久歯に生え変わってもきれいなまま保つことが簡単になります。そのため、早めにMFTを開始することで、成長段階で原因を取り除き、歯並びが悪くなることを防ぐ効果があります。
・矯正治療とMFT
口腔周囲筋の発育不全や癖が矯正治療の妨げとなることがあります。MFTは、矯正治療をよりスムーズに進め、治療後の歯並びを維持するための大切な要素でもあります。
治療方法
◆ I期治療
プレオルソ
歯並びだけでなく、かみ合わせや口が開いた状態を改善するためのマウスピース型矯正装置です。
鼻呼吸を促し、正しい飲みこみや発音のための舌のトレーニングができます。
成長に合わせて、2〜3回マウスピースの交換が必要です。
価格:1装置につき33,000円(税込)
◆ I期治療
拡大床装置
「床(しょう)」という装置を使用します。付属のネジを巻くことで歯列に力を加えながら顎の拡大を促し、歯がきれいに並ぶためのスペースを作る治療です。顎の成長に合わせて正しい歯並びへ導くので、健康な歯を削ったり抜いたりすることなく自然できれいな歯並びをめざすことができます。
一般的に、5〜8歳のお子様におすすめの治療法です。
価格:385,000円(税込)
◆ I期治療
マウスピース型矯正装置
「インビザラインファースト」
混合歯列期の9~12歳頃まで
インビザラインファーストを用いたI期治療は、混合歯列期の9~12歳頃までの間で1年半を目安に行います。ご希望の方は、お子様にとって適切な治療開始時期を選択するため、半年に1度の定期健診にお越しください。
※完成物薬機法対象外の矯正歯科装置であり、医薬品副作用被害救済制度の対象外となる場合があります
価格:440,000円(税込)、別途診断料33,000円(税込)が必要
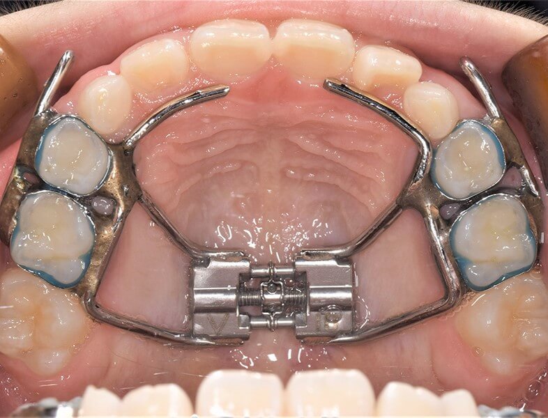
◆ I期治療
急速拡大装置
顎顔面矯正(がくがんめんきょうせい)とは、上顎の成長不足に対して急速拡大装置で顎を拡げる事で、歯の並ぶスペースを確保するだけでなく、鼻腔の拡大により鼻呼吸の改善など、お子様の成長発育のサポートをするための矯正治療です。顎関節症状の緩和、肩こりや側湾症の改善、鼻づまりやアトピー性皮膚炎の緩和にも効果が期待できると言われています。主に急速拡大装置(ハイラックス)を使用しての矯正治療となります。
価格:429,000円(税込)
◆ Ⅱ期治療
マウスピース型矯正装置
小児矯正用
「インビザライン」
取り外し可能な透明で薄いマウスピースを歯に装着し、数週間ごとに新しいものと交換して、歯列を少しずつ動かしていきます。無色透明のため目立ちにくく、取り外し自由なので、お食事や歯磨きも普段通り行えます。来院回数も約2ヶ月に1回と他の矯正より少なくすることも可能です。
ただし、適応できる症例に限りがあることと、装着時間を守らないと計画通りに歯が動かないことがある、というデメリットがあります。
※完成物薬機法対象外の矯正歯科装置であり、医薬品副作用被害救済制度の対象外となる場合があります
価格:473,000円(税込)~
※Ⅰ期治療から継続している方の金額になります。
◆ Ⅱ期治療
ブラケット
歯の表面にブラケット(金属の留め具)を接着剤で取り付け、そこに金属のワイヤーを通して締め付けることで歯を動かします。もっとも一般的な矯正方法で、幅広い症例に適用できるうえ、治療費もほかの矯正方法よりも抑えることができます。
銀色のブラケットが一般的ですが、白や透明の目立ちにくいものも選ぶことができます。
価格:385,000円(税込)〜
成人矯正
マウスピース型矯正装置
成人矯正用「インビザライン」とは
マウスピース型矯正装置「インビザライン」は、アメリカの「アラインテクノロジー社」が開発したマウスピース型矯正装置による矯正治療で、世界中で採用されています。
こんな方におすすめ
・矯正装置が目立つのが嫌
・治療中もこれまでと変わらず食事を楽しみたい
・金属アレルギーなのでメタルフリーの治療をしたい
精密な診査・診断
治療計画を立てる歯科医師によって、インビザラインによる治療結果は大きな差が出ます。
そのため、歯科医院選びは非常に重要です。
当院では、矯正治療専用の先進設備などを用いて精密な診査・診断を行い、事前シミュレーションによって納得の治療をめざします。
治療の特徴
◆ 治療前にゴールが見える
お口の状態を小型の口腔内カメラでスキャンし、コンピューター上で治療の工程をシミュレーションすることができます。患者様に歯の動き方や最終的な歯並びを3D映像で確認していただけるため、自身の歯並びのゴールがわかり、納得して治療を受けていただけます。
◆ 幅広い症例に適応
部分的な矯正治療とは異なり、奥歯も含めたお口全体の歯列を動かせるため、幅広い症例に適応できます。
インビザライン治療の流れ
- STEP1.カウンセリング
- STEP2.精密検査・撮影
- STEP3.シミュレーション作成
- STEP4.治療計画のご提案
- STEP5.マウスピース型矯正装置の製作
- STEP6.治療スタート
- STEP7.保定・メンテナンス
料金表
基本料金
| 種類 | 金額(税別) | |
|---|---|---|
| マウスピース矯正 精密診断 レントゲン・ 口腔内スキャン |
30,000円 | |
| 部分矯正 | マウスピース型矯正装置 インビザライン |
両顎 350,000円 |
| ライト (マウスピース14回) |
||
| マウスピース型矯正装置 インビザライン |
両顎 450,000円 | |
| モデレート (マウスピース26回) |
||
| マウスピース型矯正装置 インビザライン |
両顎 700,000円 | |
| フル | ||
| マウスピース型矯正装置 インビザライン |
両顎 900,000円 | |
| ヘビー | ||
| マウスピース型矯正装置 インビザライン |
両顎 350,000円 | |
| ファースト | ||
| マウスピース型矯正装置 インビザライン |
両顎 350,000円 | |
| フェーズ2 | ||
| 追加アライナー | 片顎 20,000円 | |
| 保定装置 | 片顎 20,000円 | |
オプション
| 種類 | 金額(税別) |
|---|---|
| 矯正に関わる抜歯 | 1本につき 5,000円 |
| TAD (矯正用インプラント) |
1本につき 20,000円 |
| SME(急速拡大装置) | 100,000円 |
| カリエールモーション (遠心移動装置) |
片顎1装置につき 30,000円 |
| フェイスマスク | 20,000円 |
| リップバンパー | 50,000円 |
| 加速矯正装置 | 130,000円 |
*全ての矯正は調整料を含めた金額です。
*その他のオプションに関しては別途お見積もりによります。


